Now you have come to the end of your orthodontic treatment and have worked so hard to get your straight teeth, it is really important that we prevent your teeth from moving back.
We know through experience that teeth like to move back towards their original position. We also know as a person gets older that their teeth may start to move, some crowding or overlapping may occur. How can you prevent this from happening?
Retainers
Retainers are fitted at the end of orthodontic treatment, after your braces are removed. There are different types of retainers, some are removable and some are fixed permanently to the teeth. At times combinations of fixed and removable retainers need to be used. We would assess your teeth and discuss with you what type(s) of retainer is best for you
Types of Removable Retainers
- Vacuum formed retainers are custom made from a PVC material. They are clear and fit over the teeth.
- Hawley retainers are custom made and consist of metal wires and acrylic. They are often used if a tooth is missing as a false tooth can be added to this type of retainer.
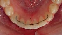
- Fixed retainer – a fixed retainer is a thin wire bonded to the inside/tongue side of the teeth. It is usually used in conjunction with a removable retainer.
FAQ’s
- How often do I have to wear a retainer?
If you need a removable retainer we will advise you to wear it every night for the first 12 months, then you can reduce the wear gradually until you reach 1-2 nights a week. We advise you to continue 1-2 nights on a long term basis.
- How long do I wear a retainer for?
The truth is if you want your teeth to stay straight for life then you will need to wear your retainer for life. If you stop wearing your retainer then there is a chance your teeth will move.
- How do I clean my retainer?
It is important that your retainers are kept clean; this will ensure that they last a long time. We will show you step by step how to clean and care for your retainer.
- Will my retainer need to be replaced over time?
Yes as you will have retainers for a long period of time, you will need to replace them due to wear and tear. All you need to do is contact us and we can discuss and advice you on this.
- Do I really need to wear a retainer long term?
Remember that teeth like to move back to their original position and this can happen no matter how old we get so yes it is really important to keep wearing your retainer on a part time basis for as long as you want to keep your teeth straight.



